Протезирование зубов
Протезирование в стоматологии - это восстановление формы разрушенных зубов, замещение утраченных зубов, восстановление функции жевательного аппарата и эстетики улыбки.
Почему необходима своевременная помощь высококвалифицированных врачей-стоматологов-ортопедов?
Из-за дефектов зубного ряда затрудняется полноценное пережёвывание пищи, что влечёт за собой развитие различных заболеваний желудочно-кишечного тракта.
Нижняя челюсть осуществляет движения за счёт височно-нижнечелюстного сустава. При длительном отсутствии зубов в суставе происходят атрофические изменения, которые сопровождаются болью и характерными щелчками во время жевательных движений и речи.
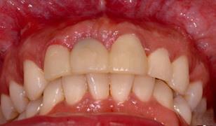
Эстетическая сторона вопроса. Из-за таких проблем, как скол зуба, изменение в цвете или отсутствие зубов, особенно передних, многие из нас стесняются улыбаться, а ведь улыбка, как известно, помогает жить!
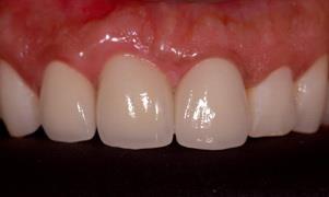
Современные технологии, позволяют добиться самых лучших результатов. Помимо того, что искусственные зубы восстанавливают физиологические функции жевательного аппарата, но и внешне не отличаются от естественных зубов!
Также, Вам необходимо знать, что по характеру фиксации протезирование зубов делится на три вида:
Несъемное протезирование - восстановление разрушенных или утраченных зубов несъемными конструкциями, которые фиксируются в полости рта пациента окончательно и ощущаются как естественные зубы.
Съемное протезирование - применяется при полном или частичном отсутствии зубов и представляет собой изготовление съёмных протезов для восстановления дефектов зубного ряда.
Комбинированное протезирование - совокупность конструкционных элементов и частей съёмного и несъёмного протезирования.
В клинике есть всё необходимое оборудование для ортопедического лечения зубов. Врачи нашей клиники владеют современными методиками восстановления зубов. Для каждого пациента подбирается индивидуальный план лечения. Мы учитываем Ваши пожелания в выборе цвета и формы будущей конструкции. Будем рады Вам помочь и ждём на консультацию.
Безметалловая керамика
Безметалловая керамика - на сегодняшний день это самый современный вид протезирования. Благодаря развитию и открытиям в области стоматологии, а также желанию пациентов, чтобы искусственные зубы были неотличимы от своих собственных, появилась высокопрочная безметалловая керамика. Такая керамика обладает рядом преимуществ:

Внешний вид таких коронок идентичен естественным зубам. Это достигается благодаря тому, что каркас безметалловых коронок белого цвета, в отличие от металлокерамических коронок, где слой керамики наносится на металлический «колпачок». Также, следует отметить, что степень преломления света, проходящего через эмаль живого зуба и предлагаемых коронок тождественны.
Отсутствует, так называемый, серый «ободок» (полоска металлического каркаса) по границе коронки с прилегающей десной, который порой со временем можно увидеть на металлокерамических конструкциях. Биосовместимость. Что очень важно в тех случаях, если есть аллергические реакции на металл.
Керамические коронки не раздражают прилегающую десну. Лёгкость. Безметалловые каркасы весят меньше,что снижает нагрузку на опорные зубы.
Безметалловая керамика незаменима при протезировании фронтальной группы зубов (зону улыбки), но благодаря прогрессивным технологиям и разработкам, её прочность не уступает металлокерамическим конструкциям, что позволяет использовать её и на жевательных зубах.
Виниры
например в следующих ситуациях: старые потемневшие пломбы, депульпированные зубы, изменившие со временем цвет, наличие клиновидных дефектов, флюороза, наличие диастем и трем (промежутков между передними и боковыми зубами),при патологической стираемости зубов, а также при других врождённых и приобретённых пороках зубов. В результате зубы приобретают здоровый, естественный вид и Вы можете смело радовать окружающих своей жемчужной улыбкой!




Виды: керамические, композитные.

- это пластинки, восстанавливающие вестибулярную (наружную) поверхность зуба. Они предназначены для коррекции формы и цвета зубов,
Для изготовления виниров применяется минимальное препарирование (сошлифовывание) передней поверхности зуба. Толщина винира составляет от 0,3 до 0,5 мм.
Используются для реставрации фронтальной группы зубов (зубы, входящие в зону улыбки) верхней и нижней челюстей -резцы и клыки, реже -премоляры.
Металлокерамика
Виды металлокерамических конструкций:
на основе кобальт-хромового сплава (КХС),
на основе титана,
Специалисты клиники гарантируют индивидуальный подход к каждому пациенту и всегда учитывают Ваши пожелания (если они не противоречат показаниям).
Металлокерамика - одно из самых распространённых и востребованных направлений в несъёмном протезировании, на сегодняшний день.
Металлокерамика позволяет изготавливать как единичные коронки, так и протяжённые конструкции, мостовидные протезы. Металлокерамическая коронка представляет собой совокупность металлического каркаса внутри и керамической облицовки снаружи. Благодаря такому сочетанию, конструкции из металлокерамики обладают высокой прочностью и, в тоже время, эстетикой, ведь керамическая облицовка подбирается под цвет и форму Ваших естественных зубов! Также, сочетание прочности и эстетики позволяет изготавливать конструкции как на передние, так и жевательные зубы.
Бюгельное протезирование
Фиксирующие элементы, используемые при бюгельном протезировании обеспечивают прочную и надёжную фиксацию протеза.


Бюгельное протезирование - это раздел съёмного протезирования. Название таких протезов происходит от слова "bugel", что в переводе с немецкого означает дуга. Бюгельные протезы используются при частичной потере зубов. Особенности строения данной конструкции заключаются в наличии металлического каркаса, представляющего собой дугу и элементы фиксации, а также пластмассового базиса, в котором крепятся искусственные зубы. Если в пластиночных протезах слизистая оболочка нёба перекрывается пластмассовой пластинкой, повторяющей его контуры, то в бюгельных протезах в этом месте проходит металлическая дуга. Таким образом, размер бюгельных протезов меньше и привыкнуть к ним проще. Не изменяются тактильные и вкусовые ощущения, что важно при пережёвывании пищи.
Съемное протезирование
Съёмные протезы делятся на три группы:
1) частично-съёмные протезы,
2) полные съёмные протезы,
3) условно-съёмные протезы.
Виды съёмных протезов:
1) Пластиночные протезы (изготавливаются полностью из акриловой пластмассы или с использованием металлического базиса, укрепляющего протез). Применяются как при полном, так и частичном отсутствии зубов.
2) Бюгельные протезы (имеют металлический каркас и пластмассовый базис).
3) Протезы Квадротти (Quattro Ti) изготавливаются из материала, который носит название Dental D и представляет собой пластик на основе нейлона. Протезы изготавливаются из цельного материала под воздействием термической обработки. Являются гибкими протезами. Применяются при частичном отсутствии зубов.
4) Протезы Акри-Фри (Acry-Free) изготавливаются из материалов на основе акриловых смол, не содержат мономеров, являются гипоаллергенными. По гибкости занимают промежуточное положение между пластиночными протезами и нейлоновыми. Возможно использовать как при полном, так и при частичном отсутствии зубов.
Съёмное протезирование - это раздел ортопедической стоматологии, занимающийся восстановлением частичного или полного отсутствия зубов путём изготовления съёмных протезов. Съёмные протезы легко одеваются и снимаются самостоятельно, для осуществления гигиены полости рта и протезов, а также извлекаются в ночное время.
Записаться на прием вы можете по телефонам 8 (495) 342-68-33, 8 (968) 968-04-94
Мы ждем Вас, чтобы вернуть здоровую улыбку.