Имплантология
Уважаемые пациенты! Если Вы озадачились восстановлением отсутствующего зуба, дентальная имплантация - лучший вариант. Имплантат с точки зрения физиологии, надежности, долговечности и стоимости предпочтительнее мостовидного протеза, который так же применяется при отсутствии зуба. Применяя дентальные имплантаты можно решать проблемы даже при полном отсутствии зубов.
Наша клиника является официальным партнером ведущих имплантологических систем «Trinon». Врачи клиники - высококлассные специалисты.
При проведении имплантации мы гарантируем Вам безболезненность проведения процедуры, минимальную травматичность, применение самых современных технологий и материалов.

Все, что может предложить современная стоматология для имплантации зубов, для протезирования на имплантатах, улучшения внешнего вида, все это доступно для Вас в стенах нашей клиники . Все процедуры проводятся абсолютно безболезненно. Комфорту пациента уделяется особое внимание!
Имплантация Q-имплантами Trinon
Система зубных имплантов Q-Implant была специально создана для широкого применения в области дентальной имплантологии. При разработке этой системы усилия были сфокусированы на том, чтобы сделать ее простой в использовании и лишить многих недостатков, присущих другим системам имплантации. Одноэтапный эндооссальный Q- имплант изготовлен из титана и не содержит компонентов, усложняющих проведение дальнейшего ортопедического лечения. Благодаря самонарезающей резьбе имплантата достигается отличная первичная фиксация и устойчивость, что дает возможность немедленно установить временную коронку. Трансгингивальное заживление снимает необходимость в проведении последующего хирургического вмешательства, а внутрикостная поверхность имплантата, подвергнутая пескоструйной обработке, позволяет сократить период остеоинтеграции. Вышеперечисленные преимущества, а также зеркальная отделка поверхности головки имплантата, способствуют быстрому заживлению и
Ортопедическая платформа имплантата имеет коническую форму с дивергентностью 7°.
Головку можно препарировать и использовать в качестве непосредственной замены культи натурального зуба. Для предотвращения возможной ротации имплантата после установки, а также для облегчения его доводки с помощью
ключа, на головку нанесены четыре симметричных продольных паза. Это позволяет установить на имплантат временную.
сводят к минимуму риск послеоперационного заражения.
Q-импланты обладают резьбой с самонарезающим шагом, что способствует «бережной» работе с костной тканью и атравматическому внедрению имплантатов с минимальным усилием. Даже при работе с губчатой костной тканью верхней челюсти обеспечивается прекрасная первичная стабильность. Максимальное внимание уделялось разработке прогрессивной спиральной резьбы с продольными сечениями, полученными путем фрезерования, которая обеспечивает уменьшение нагрузки и равномерное распределение давления по всей площади кости челюсти. Продольные сечения также служат для ограничения вращения имплантата. Костная стружка, собирающаяся вокруг имплантата в процессе установки, является дополнительной поддержкой в процессе остеогенеза.
Для достижения максимальной остеоинтеграции поверхность имплантата протравливается и пескоструется оксидом алюминия. супраструктуру. Перед осуществлением зубного оттиска следует заполнить пазы композитным материалом. При использовании защитной прокладки можно даже производить шлифовку головки во время или после оперативного вмешательства. Зеркально-полированная поверхность значительно улучшает прилегание слизистой оболочки и краевой десны. В итоге пациент получает превосходный конечный результат как с эстетической, так и с функциональной точки зрения, прямо в день операции.
Синус-лифтинг
В нашей клинике есть все необходимое, чтобы качественно и безопасно проводить подобные операции.
Что такое синус-лифтинг и зачем его проводят? Синус-лифтинг это вспомогательная операция при установке имплантатов. Для установки имплантатов нужны хорошие условия и в первую очередь это объем костной ткани в которую устанавливается имплантат. А объема не всегда достаточно. На верхней челюсти, в области жевательных зубов хирурга ограничивает гайморова пазуха. Когда расстояние до пазухи совсем мало, всего несколько миллиметров, применяют методику синус-лифтинга. Дно гайморовой пазухи приподнимают, проводят костную пластику и устанавливают имплантат. Операция требует высокой квалификации хирурга-стоматолога, надежных материалов и качественного инструментария.
Костная пластика
После удаления зуба происходит убыль костной ткани, поэтому очень важно проводить операцию по вживлению имплантата на место удаленного зуба либо непосредственно сразу после удаления зуба, либо в короткие сроки после удаления. Сильно отсроченная Имплантация или травматичное удаление всегда приводит к атрофии костной ткани и необходимости проведения костной пластики для увеличения объема кости и создания благоприятных условий для приживления имплантатов. На результат операции влияет квалификация и опыт врача, проводящего костную пластику, применяемые материалы и технологии.

В клинике есть все необходимое, чтобы качественно и безопасно проводить подобные операции. Врачи клиники - высококлассные специалисты. При проведении хирургических операций мы гарантируем Вам безболезненность проведения процедуры, минимальную травматичность, применение самых современных технологий и материалов. Будем рады Вам помочь и ждем на консультацию.
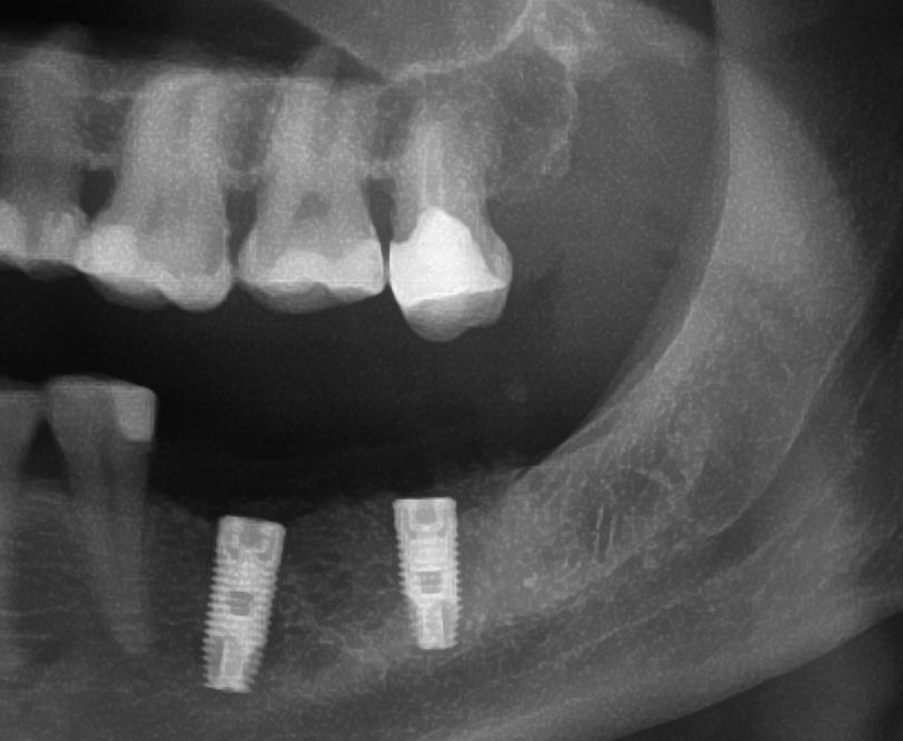
Одномоментная имплантация
В клинике есть все необходимое, чтобы качественно и безопасно проводить подобные операции. Врачи клиники - высококлассные специалисты. При проведении хирургических операций мы гарантируем Вам безболезненность проведения процедуры, минимальную травматичность, применение самых современных технологий и материалов. Будем рады Вам помочь и ждем на консультацию.
Не каждый зуб можно вылечить. Бывают ситуации когда приходится удалять зуб, находящийся в линии улыбки. В этом случае, для того чтобы не пострадала эстетика, применяется метод имплантации, проводящийся одномоментно с удалением зуба. Вкратце: зуб удаляется, в лунку удаленного зуба устанавливается имплантат, на имплантат устанавливается временная пластиковая коронка. В этом случае пациент не испытывает дискомфорта с эстетической точки зрения. Спустя 4-6 месяцев временная коронка может быть заменена на постоянную, высоко эстетичную реставрацию. Процедура требует от врача имплантолога очень аккуратной работы, знаний и опыта как в имплантологии так и в области ортопедии.
Записаться на прием вы можете по телефонам 8 (495) 342-68-33, 8 (968) 968-04-94
Мы ждем Вас, чтобы вернуть здоровую улыбку.